南多摩歯科クリニック
> 症例写真
診療内容別症例
最新の症例写真(ビフォーアフター)
当院の症例写真は、画像処理により形や大きさを変えるような処理は一切おこなっておりません。
■治療方法 : レーザーによる舌小帯切除術
■治療説明 : レーザーによる舌小帯切除術は、舌小帯強直症や舌癒着症などの治療に行われる外科手術で、手術時間の短縮や術後の痛みや腫れ、出血をかなり軽減できる治療法です。
■治療費 : 保険診療による3割負担で約4,000円程度
■治療期間 : 1週間程度
■通院回数 : 2回程度
■治療の副作用(リスク) : 抗生剤、消炎鎮痛剤を処方しますので、副作用やリスクはほとんどありません。
■治療方法 : レーザーによる粘液嚢胞除去
■治療説明 : 炭酸ガスレーザーで粘膜を切開し、内部にある粘液嚢胞を摘出する外科処置。手術時間の短縮や術後の炎症性反応、出血などのリスクをかなり軽減できる治療法として確立している。
■治療費 : 保険診療の3割負担で4,000円程度
■治療期間 : 一般的には1週間程度(経過による)
■通院回数 : 2回程度
■治療の副作用(リスク) : 粘液嚢胞の再発、皮下気腫、術後の瘢痕形成
■治療方法 : インプラント
■治療説明 : 何らかの理由で歯を失った部位の顎骨に、ネジ状の人工歯根を埋入することで歯根の代替として歯冠を修復し、天然歯に近い機能の回復を図ることができる外科治療。
■治療費 : 1本 396,000円
■治療期間 : 3〜6ヶ月程度
■通院回数 : 6〜8回程度
■治療の副作用(リスク) :
- 下顎の手術で神経を損傷し、感覚障害が起こることがある
- 下顎の手術で血管を損傷し、多量の出血を起こすことがある
- 上顎の手術で穿孔(突き抜けること)して、副鼻腔炎や蓄膿症になることがある
- 術中の不十分な冷却による骨壊死が起こり、定着しないことがある
- 麻酔による血圧上昇などの体調不良が起こることがある
- 術後に腫れや痛みが出る
- 術中や術後に細菌感染による炎症を起こすことがある
- 咬み合わせに違和感があることがある
■術後の制限事項 :
- 食事は麻酔が切れてから食べる
- 数日間は長湯や激しい運動やうがいは控える
- インプラントが安定するまで硬い物や刺激物は控える
- 術後1週間程度は飲酒や喫煙は控える
- 抜糸をするまで口腔ケア時に傷に触らないようにする
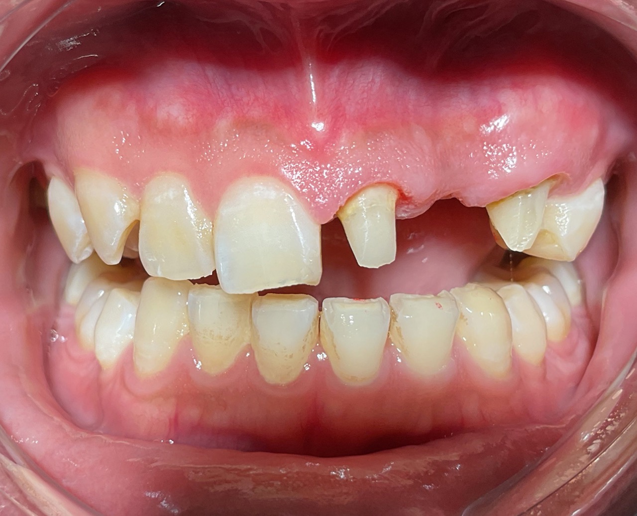
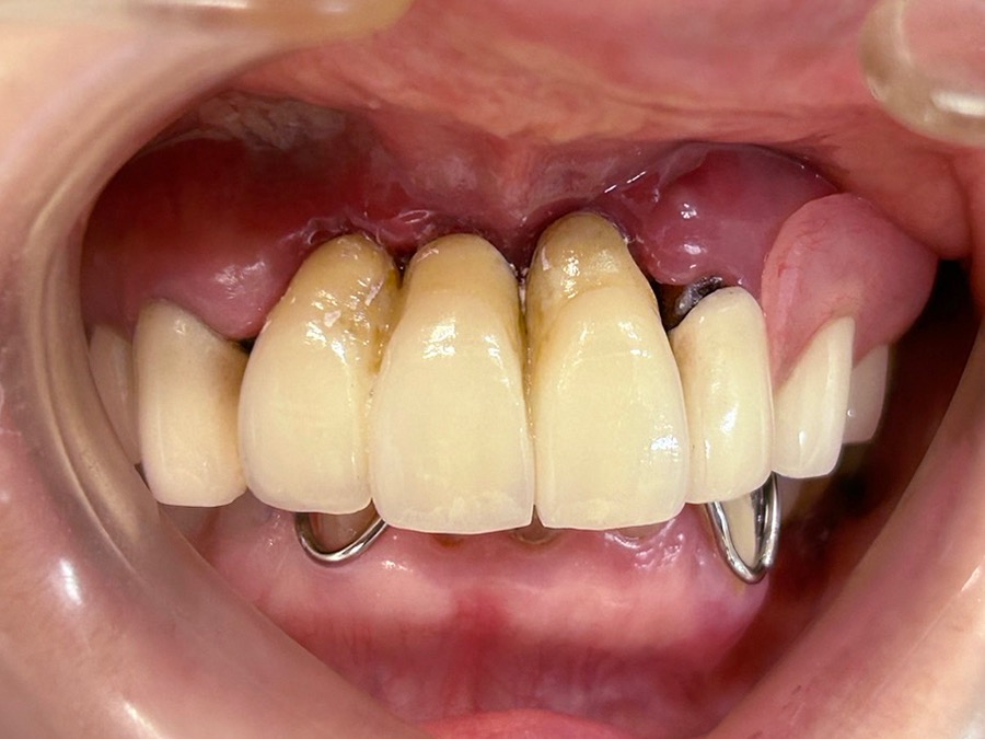
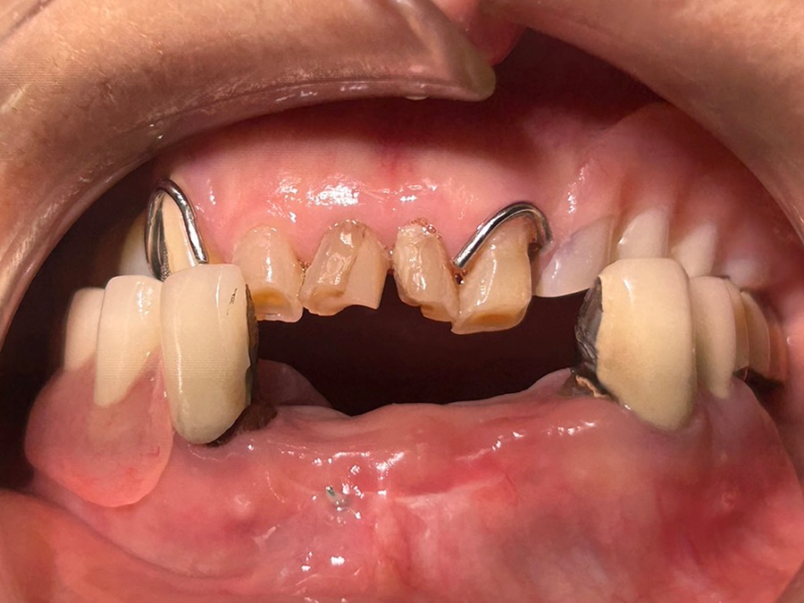
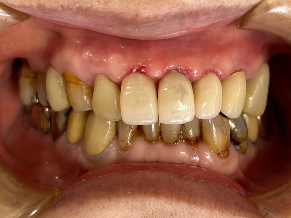
■治療方法 : 歯のブリッジ
■治療説明 : ブリッジ治療は、歯を喪失した場合に噛み合わせや歯並びなどを回復することを目的として、隣接する歯の被せ物と喪失した歯の代替であるポンティックを一体にした人工の歯を接着する治療をいいます。
■治療費 : 保険診療:前歯/約20,000円~、臼歯/約10,000円~/自費診療:270,000〜360,000円
■治療期間 : 1週間〜3ヶ月程度
■通院回数 : 2〜10回程度
■治療の副作用(リスク) : 歯に痛みが出る、歯根が破折する、二次う蝕や歯周病
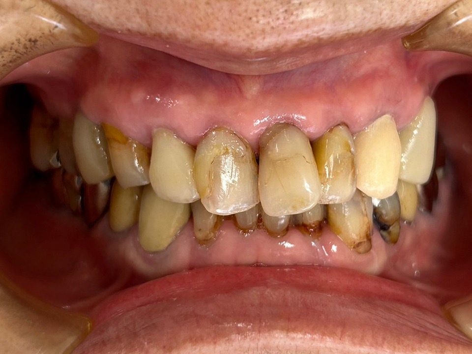
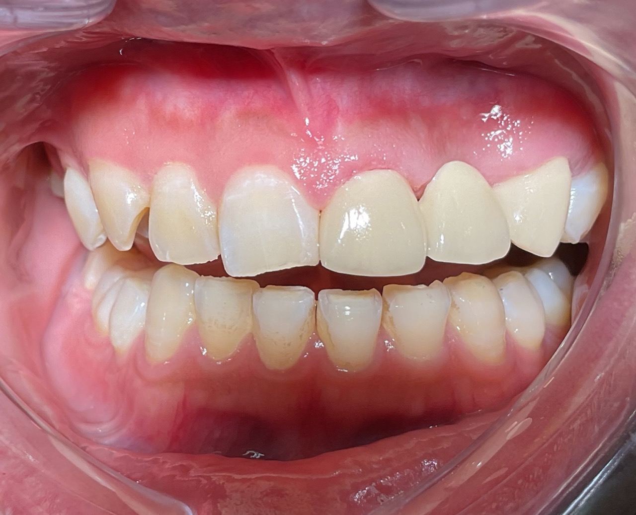
■治療方法 : ホワイトニング
■治療説明 : ホワイトニングは薬剤で歯を漂白する施術で、歯科医院で歯科医師または歯科衛生士が施術し、即効性があるオフィスホワイトニングと自宅で行い持続性が高いホームホワイトニング、両方を併用するデュアルホワイトニングがあります。
■治療費 : 18,000〜30,000円
■治療期間 : オフィスホワイトニング:1日、ホームホワイトニング:頻度による(7回分/本など)
■通院回数 : オフィスホワイトニング:1回、ホームホワイトニング:2回(型取り+トレーお渡しと説明)
■治療の副作用(リスク) : 知覚過敏、歯髄炎、歯肉炎、口内炎、漂白時の歯の色むら
■治療方法 : レーザーによる上唇小帯切除術
■治療説明 : レーザーによる上唇小帯切除術は、上唇小帯の付着異常や肥大症などに由来するトラブルの改善を目的として行う外科治療のひとつ。レーザーメスを使用することで、手術時間の短縮や術後の出血及び、痛みの軽減が可能です。
■治療費 : 保険診療内:3割負担で約4,000円程度。小学生の場合は地域により負担金がない場合もあります。
■治療期間 : 1週間程度
■通院回数 : 2回程度
■治療の副作用(リスク) : 抗生剤や消炎鎮痛剤を処方するため副作用(リスク)はほとんどありません。



